设为首页 | 加入收藏 | 繁体中文
产品中心
 
联系我们

名   称:阿尔法特生物科技(广州)有限公司

官   www.alphabiot.com

电   话13535211779(微信同号)

邮   箱:alphatbiot@foxmail.com

地   址:广州市海珠区昌岗中路238号

显微镜产品
 产品 >> 显微镜产品 >> 所有小类
 
产品编号:
11192333116
产品名称:
无损无标记活细胞全景高清超分辨显微镜
规  格:
国产-澄光
产品备注:
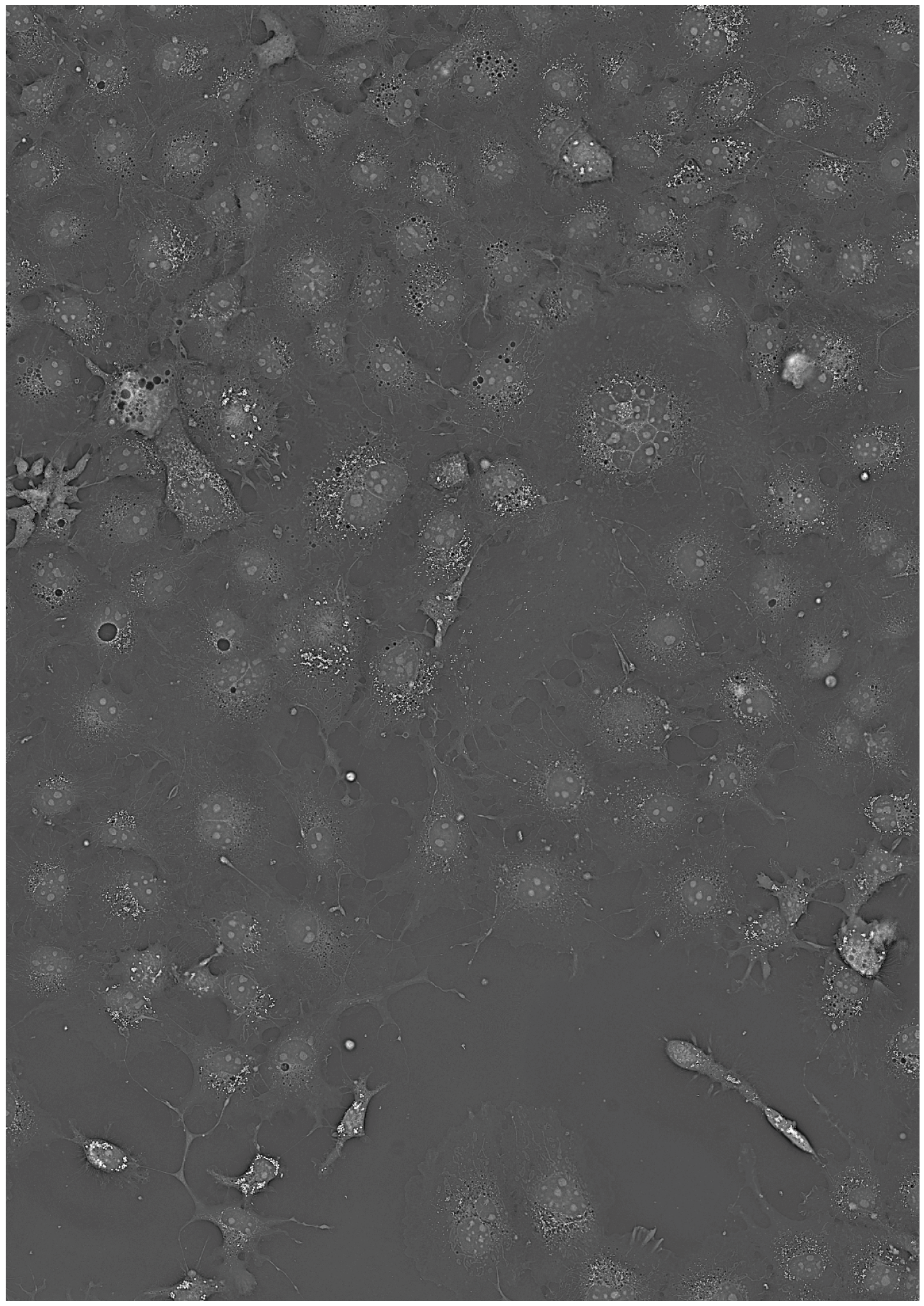
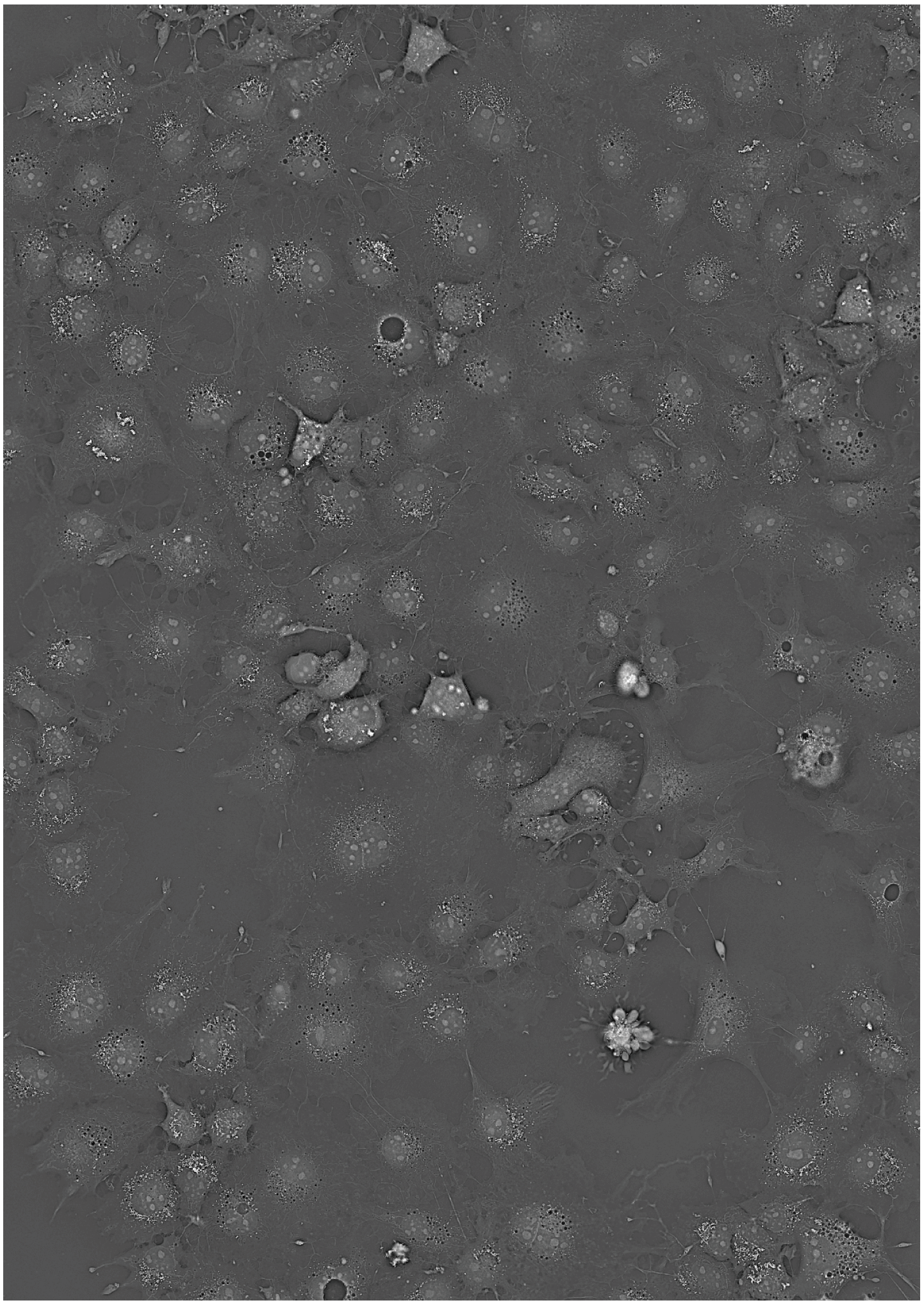
无损无标记活细胞全景高清超分辨成像,样品无需固定、无光漂白,无光毒性,长时间活细胞成像,线粒体、脂滴、核膜、核仁、溶酶体、染色体、黑体、细胞骨架等细胞器全景成像
产品类别:
显微镜产品
 
   产 品 说 明




【微信公众号:Alphat阿尔法特生物科技】
相关产品推荐:
1、无损无标记单细胞/组织-空间多组学成像分析技术
2、Ai 智能化共聚焦高内涵成像分析系统
3、超高分辨快速3D多重扫描共聚焦显微镜
4、细胞能量代谢分析仪 - 灌流式、多参数 细胞 /组织 /类器官代谢分析
5、ID7000超高参数全光谱流式细胞分析仪 - 挑战更多可能
6、MA900 多功能全自动流式细胞分选仪
7、高通量活细胞长时间成像分析系统
8、384孔 - 荧光定量PCR系统
9、Oxford Nanopore 第三代单分子纳米孔测序仪
10、ARGOTM HT 飞克级蛋白标志物和组学检测系统
11、SEM/TEM电镜-生物拉曼光谱成像联用系统
12、跨膜态大尺寸高清全景共聚焦组织流式定量定位分析系统
13、多光谱全景扫描组织流式定量定位分析系统
15、小动物多模态超高分辨光声成像系统(选配内窥镜)


点击数:81  录入时间:2025/11/19 【打印此页】 【关闭
无标记单细胞拉曼共聚焦成像分析系统、类器官串联培养系统、单分子纳米孔测序仪、全自动高通量数字化分子互作仪、视频级原子力显微镜、384孔 - 荧光定量PCR仪、96孔 - 荧光定量PCR仪、Simoa数字式单分子免疫阵列检测系统、动物精细行为学、物联网智能超纯水仪
阿尔法特生物科技(广州)有限公司   网站技术支持:未来互联